Skip to content
Dentista | Clínica Odontológica em Francisco Beltrão, Paraná
Início
Quem somos
Tecnologia
Equipe
Resultados
Menu
Início
Quem somos
Tecnologia
Equipe
Resultados
Agendar Consulta
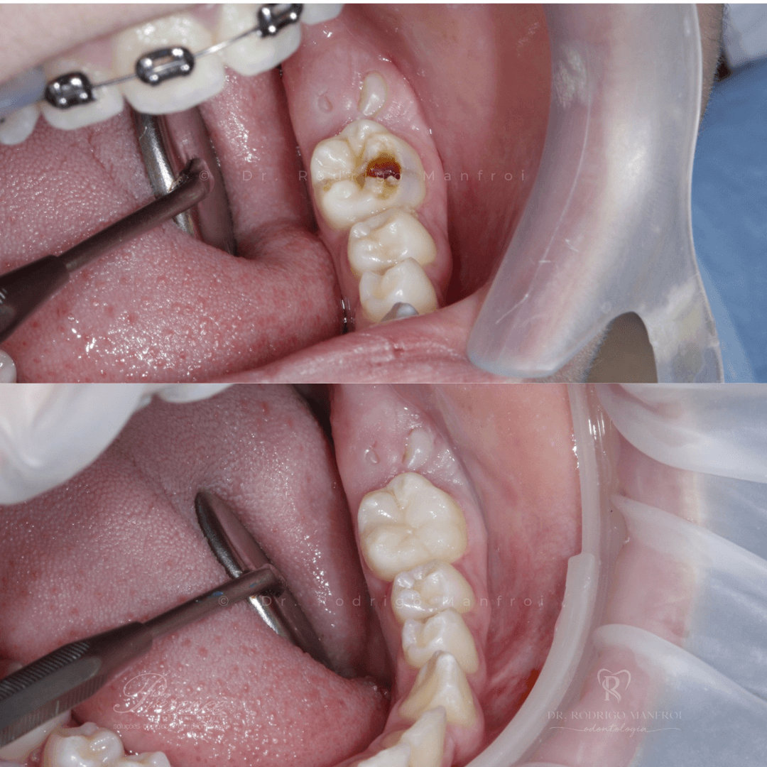
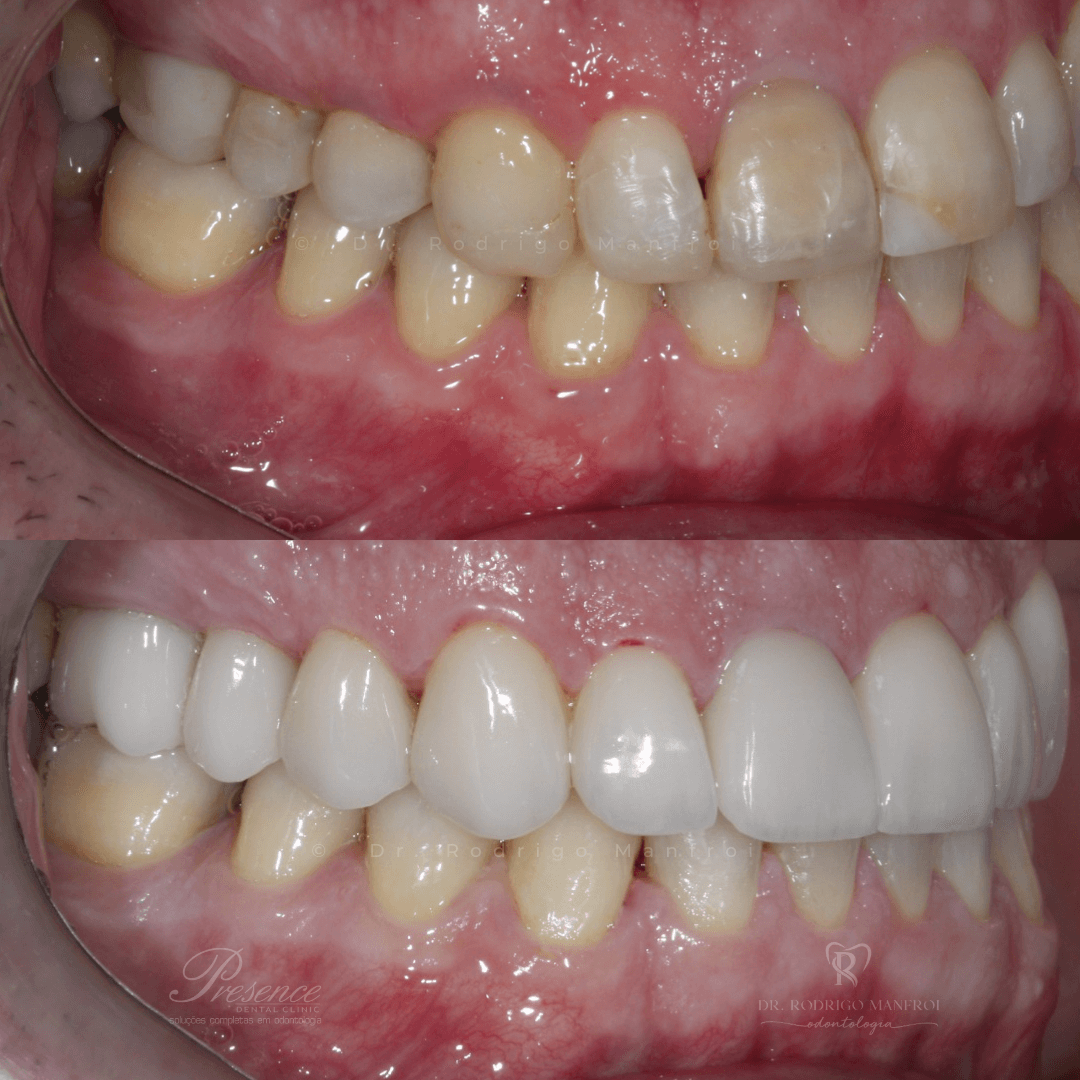
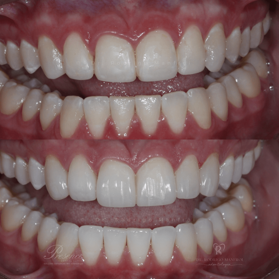
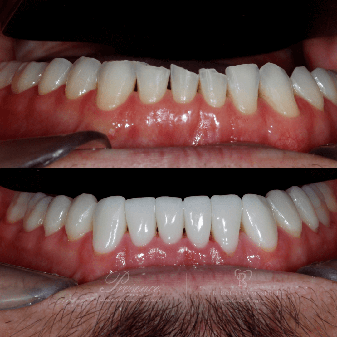
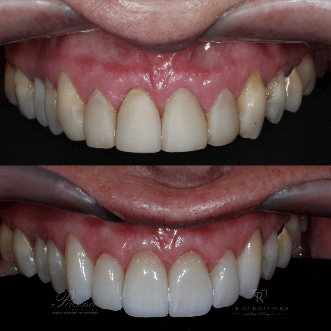
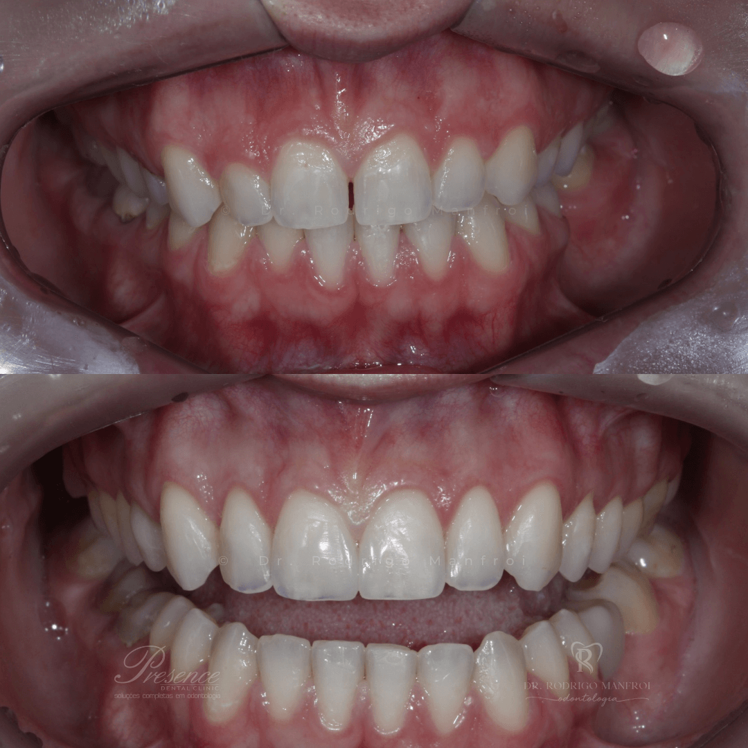
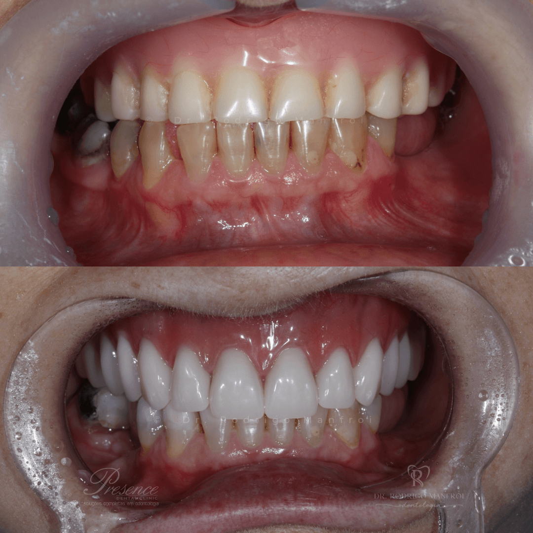
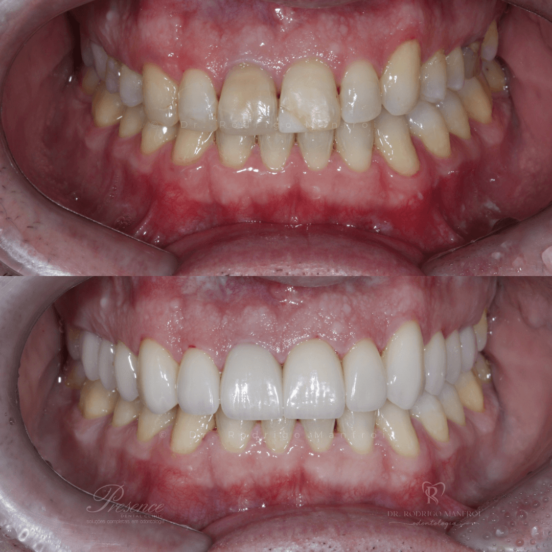
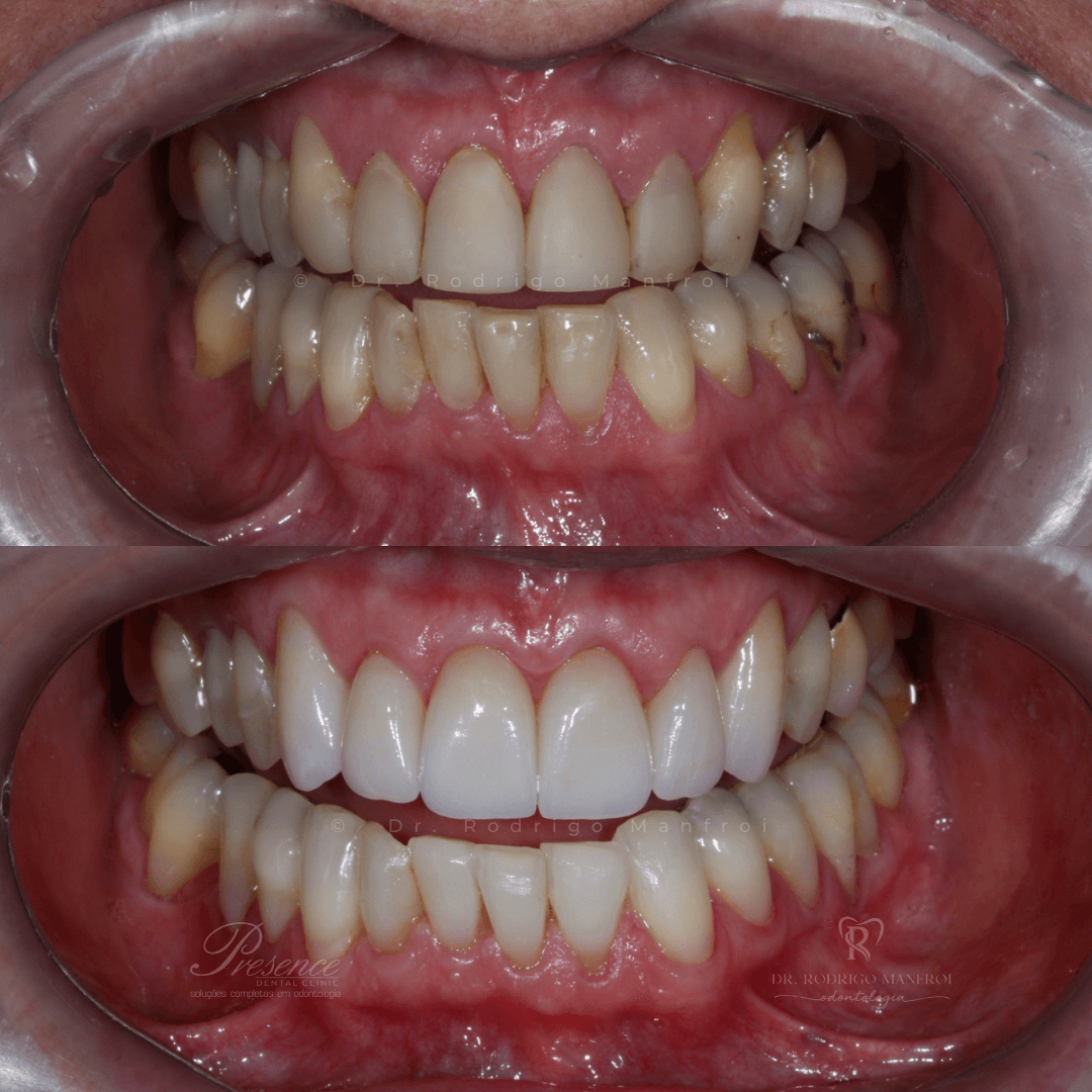
Confira alguns resultados dos nossos pacientes!